Zcore™ Porcine Xenograft Particulate in Syringe

Customer Testimonials

Zcore™ Porcine Xenograft Particulate in Syringe

  • Pre-filled syringe allows for hydration and precise delivery of graft
  • Interconnecting macroscopic and microscopic porous structure supports the formation and ingrowth of new bone
  • 88% to 95% Void Space: hyper-porosity of porcine cancellous matrix and intra-particle space facilitated by rough particle morphology reduce bulk density of the graft, allowing greater empty space for new bone growth
  • Derived from porcine cancellous bone, eliminating risk of BSE transmission
  • Heat treated to an optimal temperature that ensures a degree of crystallinity consistent with native bone mineral to allow for remodeling of the healing bone

 

**Bone Graft Substitute Bulk Discount** Buy 5 Boxes Get 1 Box Free

(A total of 6 boxes must be in your cart to get 1 free)

Free 2nd Day Shipping on All Online Orders Over $350 ($15 Value)

Quantity Of Boxes
QUANTITY OF BOXES

More Information

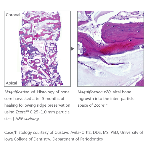
Zcore™ is an osteoconductive, porous, anorganic bone mineral with a carbonate apatite structure derived from porcine cancellous bone. Proprietary processing steps preserve both interconnecting macroscopic and microscopic porous structures of Zcore™ that helps support the formation and in-growth of new bone.

Customers Also Purchased: